For quotations, please use our online quotation form, and you may also contact us by
sales@neoscientific.com
+1-888.733.6849
+1-617.299.7367 (Int’l)
+1-888.733.6849
+1-617.299.7367 (Int’l)
| Reactivity | Human Mouse Rat |
| Tested applications | WB IHC |
| Recommended Dilution | WB 1:500 - 1:2000 IHC 1:50 - 1:200 |
| Calculated MW | 50kDa |
| Observed MW | Refer to Figures |
| Immunogen | Recombinant protein of human SCTR |
| Storage Buffer | Store at -20℃. Avoid freeze / thaw cycles. Buffer: PBS with 0.02% sodium azide, 50% glycerol, pH7.3. |
| Synonym | SR |

Western blot analysis of extracts of mouse liver cell line, using SCTR antibody.

Immunohistochemistry of paraffin-embedded human thyroid cancer tissue using SCTR antibody.

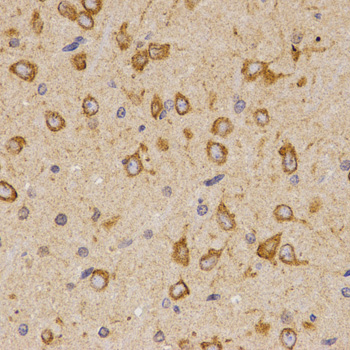
Immunohistochemistry of paraffin-embedded rat brain tissue using SCTR antibody at dilution of 1:200 (x400 lens)

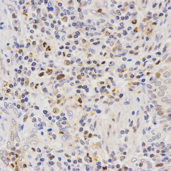
Immunohistochemistry of paraffin-embedded human lung cancer tissue using SCTR antibody at dilution of 1:200 (x400 lens)

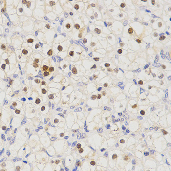
Immunohistochemistry of paraffin-embedded human kidney cancer tissue using SCTR antibody at dilution of 1:200 (x400 lens)

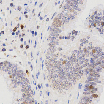
Immunohistochemistry of paraffin-embedded human rectal cancer tissue using SCTR antibody at dilution of 1:200 (x400 lens)
The protein encoded by this gene is a G protein-coupled receptor and belongs to the glucagon-VIP-secretin receptor family. It binds secretin which is the most potent regulator of pancreatic bicarbonate, electrolyte and volume secretion. Secretin and its receptor are suggested to be involved in pancreatic cancer and autism.
N/A