For quotations, please use our online quotation form, and you may also contact us by
sales@neoscientific.com
+1-888.733.6849
+1-617.299.7367 (Int’l)
+1-888.733.6849
+1-617.299.7367 (Int’l)
| Reactivity | Human Mouse Rat |
| Tested applications | WB IHC IF |
| Recommended Dilution | WB 1:500 - 1:2000 IHC 1:50 - 1:200 IF 1:10 - 1:100 |
| Calculated MW | 72kDa |
| Observed MW | Refer to Figures |
| Immunogen | Recombinant protein of human SDHA |
| Storage Buffer | Store at -20℃. Avoid freeze / thaw cycles. Buffer: PBS with 0.02% sodium azide, 50% glycerol, pH7.3. |
| Concentration | i |
| Synonym | FP; PGL5; SDH1; SDH2; SDHF; CMD1GG; |

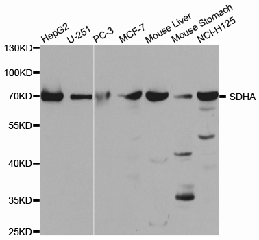
Western blot analysis of extracts of various cell lines, using SDHA antibody.

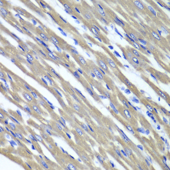
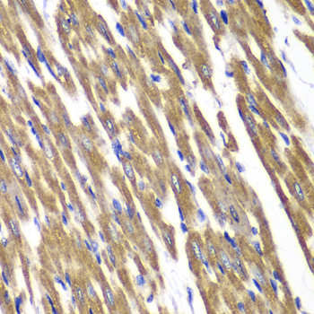
Immunohistochemistry of paraffin-embedded rat heart using SDHA antibody at dilution of 1:100 (400x lens).

Immunohistochemistry of paraffin-embedded rat heart using SDHA antibody at dilution of 1:100 (400x lens).

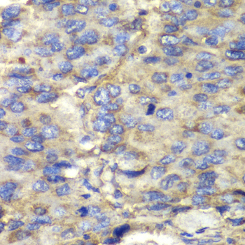
Immunohistochemistry of paraffin-embedded human liver cancer using SDHA antibody at dilution of 1:100 (400x lens).

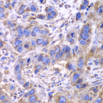
Immunohistochemistry of paraffin-embedded human esophageal cancer using SDHA antibody at dilution of 1:100 (400x lens).
This gene encodes a major catalytic subunit of succinate-ubiquinone oxidoreductase, a complex of the mitochondrial respiratory chain. The complex is composed of four nuclear-encoded subunits and is localized in the mitochondrial inner membrane. Mutations in this gene have been associated with a form of mitochondrial respiratory chain deficiency known as Leigh Syndrome. A pseudogene has been identified on chromosome 3q29.
N/A