For quotations, please use our online quotation form, and you may also contact us by
sales@neoscientific.com
+1-888.733.6849
+1-617.299.7367 (Int’l)
+1-888.733.6849
+1-617.299.7367 (Int’l)
| Reactivity | Human Mouse Rat |
| Tested applications | WB IHC IF |
| Recommended Dilution | WB 1:500 - 1:2000 IHC 1:50 - 1:200 IF 1:50 - 1:200 |
| Calculated MW | 49kDa |
| Observed MW | Refer to Figures |
| Immunogen | Recombinant protein of human SGK1 |
| Storage Buffer | Store at -20℃. Avoid freeze / thaw cycles. Buffer: PBS with 0.02% sodium azide, 50% glycerol, pH7.3. |
| Concentration | b |
| Synonym | SGK; SGK1 |

Western blot analysis of extracts of various cell lines, using SGK1 antibody.

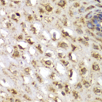
Immunohistochemistry of paraffin-embedded human esophageal using SGK1 antibody at dilution of 1:100 (400x lens).

Immunofluorescence analysis of MCF7 cell using SGK1 antibody. Blue: DAPI for nuclear staining.

Immunofluorescence analysis of HeLa cell using SGK1 antibody. Blue: DAPI for nuclear staining.
Serum and glucocorticoid-inducible kinase (SGK) is a serine/threonine kinase closely related to Akt (1). SGK is rapidly induced in response to a variety of stimuli, including serum, glucocorticoid, follicle stimulating hormone, osmotic shock, and mineralocorticoids. SGK activation can be accomplished via HGF PI3K-dependent pathways and by integrin-mediated PI3K-independent pathways (2,3). Induction and activation of SGK has been implicated in activating the modulation of anti-apoptotic and cell cycle regulation (4-6). SGK also plays an important role in activating certain potassium, sodium, and chloride channels, suggesting its involvement in the regulation of processes such as cell survival, neuronal excitability, and renal sodium excretion (2). SGK is negatively regulated by ubiquitination and proteasome degradation (7).The MAP kinase family member BMK1 interacts with and activates SGK by phosphorylation at serine 78 (6).
N/A