For quotations, please use our online quotation form, and you may also contact us by
sales@neoscientific.com
+1-888.733.6849
+1-617.299.7367 (Int’l)
+1-888.733.6849
+1-617.299.7367 (Int’l)
| Reactivity | Human Mouse Rat |
| Tested applications | WB IHC IF IP CHIP |
| Recommended Dilution | WB 1:500 - 1:2000 IHC 1:50 - 1:200 IF 1:50 - 1:200 IP 1:50 - 1:200 ChIP 1:20 - 1:100 |
| Calculated MW | 46kDa |
| Observed MW | Refer to Figures |
| Immunogen | Recombinant protein of human SMARCE1 |
| Storage Buffer | Store at -20℃. Avoid freeze / thaw cycles. Buffer: PBS with 0.02% sodium azide, 50% glycerol, pH7.3. |
| Concentration | f |
| Synonym | BAF57; |

Western blot analysis of extracts of various cell lines, using SMARCE1 antibody.

Immunohistochemistry of paraffin-embedded human stomach cancer using SMARCE1 antibody at dilution of 1:200 (x400 lens).

Immunohistochemistry of paraffin-embedded mouse brain using SMARCE1 antibody at dilution of 1:200 (x400 lens).

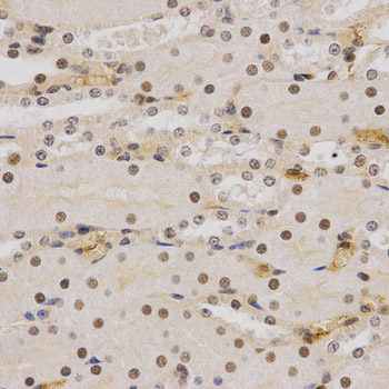
Immunohistochemistry of paraffin-embedded mouse kidney using SMARCE1 antibody at dilution of 1:200 (x400 lens).

Immunohistochemistry of paraffin-embedded Human colon using SMARCE1 antibody at dilution of 1:100 (x400 lens).

Immunohistochemistry of paraffin-embedded human esophageal cancer using SMARCE1 antibody at dilution of 1:100 (x400 lens).

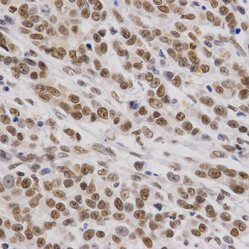
Immunohistochemistry of paraffin-embedded Human gastric cancer using SMARCE1 antibody at dilution of 1:100 (x400 lens).

Immunohistochemistry of paraffin-embedded liver cancer using SMARCE1 antibody at dilution of 1:100 (x400 lens).

Immunofluorescence analysis of U2OS cell using SMARCE1 antibody. Blue: DAPI for nuclear staining.

Immunofluorescence analysis of HeLa cell using SMARCE1 antibody.
The protein encoded by this gene is part of the large ATP-dependent chromatin remodeling complex SWI/SNF, which is required for transcriptional activation of genes normally repressed by chromatin. The encoded protein, either alone or when in the SWI/SNF complex, can bind to 4-way junction DNA, which is thought to mimic the topology of DNA as it enters or exits the nucleosome. The protein contains a DNA-binding HMG domain, but disruption of this domain does not abolish the DNA-binding or nucleosome-displacement activities of the SWI/SNF complex. Unlike most of the SWI/SNF complex proteins, this protein has no yeast counterpart.
N/A