SMYD5-Polyclonal Antibodies

our services
our products
Quotations & Ordering:

For quotations, please use our online quotation form, and you may also contact us by

sales@neoscientific.com

Phone:

+1-888.733.6849
+1-617.299.7367 (Int’l)

Fax:

+1-888.733.6849
+1-617.299.7367 (Int’l)

Our customer service representatives are available 24 hours, Monday through Friday to assist you.

SMYD5

Qty


Total
$220
Catalog #
A6191
Antibody Type
Polyclonal Antibody
Gene ID
10322
Swiss Prot
Q6GMV2
Size
Species
Rabbit
Isotype
IgG
Purity
Affinity purification
Additional Information
ReactivityHuman Mouse Rat
Tested applicationsWB IHC IF IP
Recommended DilutionWB 1:500 - 1:2000 IHC 1:50 - 1:100 IF 1:50 - 1:100 IP 1:50 - 1:100
Calculated MW47kDa
Observed MWRefer to Figures
ImmunogenRecombinant protein of human SMYD5
Storage BufferStore at -20℃. Avoid freeze / thaw cycles. Buffer: PBS with 0.02% sodium azide, 50% glycerol, pH7.3.
Concentrationf
SynonymRRG1; RAI15; NN8-4AG; ZMYND23
Images
  • A6191: image 1

    Western blot analysis of extracts of various cell lines, using SMYD5 antibody.

  • A6191: image 2

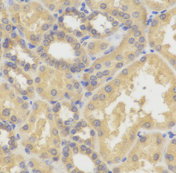
    Immunohistochemistry of human kidney using SMYD5 Antibody.

  • A6191: image 3

    Immunofluorescence analysis of A549 cell using SMYD5 antibody. Blue: DAPI for nuclear staining.

Background

Protocol

N/A

MSDS
Reviews
Neo Scientific welcomes feedback from its customers.

If you have used an our product and would like to share how it has performed, please click on the "Submit Review" button and provide the requested information.

If you have any additional inquiries please email technical services at info@neobiolab.com.

Thank you for your support.

promotions

Image

Custom Monoclonal Antibody
MassAb Technologies
Image
Free Trial Custom Polyclonal Antibody
You will receive free purified antibodies for validation
Image
Custom Peptides Synthesis

Start from $40/each

new technologies

Image
Optimized for enhanced
expression levels
XPromoter 2.0
Image
E.coli/insect cells/293 & CHO

3 in 1 expression system
Image
MassAb Technologies

Cover All Epitopes