For quotations, please use our online quotation form, and you may also contact us by
sales@neoscientific.com
+1-888.733.6849
+1-617.299.7367 (Int’l)
+1-888.733.6849
+1-617.299.7367 (Int’l)
| Reactivity | Human Mouse Rat |
| Tested applications | WB IHC IF |
| Recommended Dilution | WB 1:500 - 1:2000 IHC 1:50 - 1:200 IF 1:50 - 1:100 |
| Calculated MW | 48kDa |
| Observed MW | Refer to figures |
| Immunogen | Recombinant protein of human STAMBP |
| Storage Buffer | Store at -20℃. Avoid freeze / thaw cycles. Buffer: PBS with 0.02% sodium azide, 50% glycerol, pH7.3. |
| Synonym | AMSH; MICCAP; |

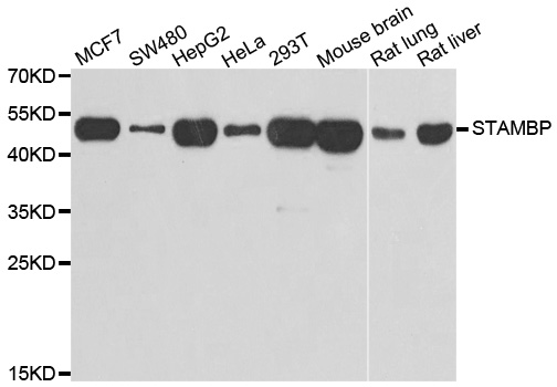
Western blot analysis of extracts of various cell lines, using STAMBP antibody.

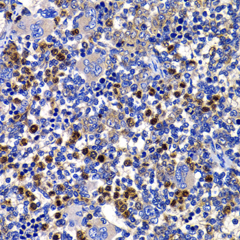
Immunohistochemistry of paraffin-embedded rat spleen using STAMBP antibody at dilution of 1:100 (x400 lens).

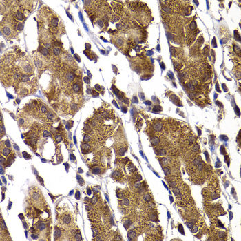
Immunohistochemistry of paraffin-embedded human stomach using STAMBP antibody at dilution of 1:100 (x400 lens).

Immunofluorescence analysis of U20S cell using STAMBP antibody. Blue: DAPI for nuclear staining.
Cytokine-mediated signal transduction in the JAK-STAT cascade requires the involvement of adaptor molecules. One such signal-transducing adaptor molecule contains an SH3 domain that is required for induction of MYC and cell growth. The protein encoded by this gene binds to the SH3 domain of the signal-transducing adaptor molecule, and plays a critical role in cytokine-mediated signaling for MYC induction and cell cycle progression. Multiple alternatively spliced transcript variants encoding the same protein isoform have been found for this gene.
N/A