STUB1-Polyclonal Antibodies

our services
our products
Quotations & Ordering:

For quotations, please use our online quotation form, and you may also contact us by

sales@neoscientific.com

Phone:

+1-888.733.6849
+1-617.299.7367 (Int’l)

Fax:

+1-888.733.6849
+1-617.299.7367 (Int’l)

Our customer service representatives are available 24 hours, Monday through Friday to assist you.

STUB1

Qty


Total
$220
Catalog #
A1169
Antibody Type
Polyclonal Antibody
Gene ID
10273
Swiss Prot
Q9UNE7
Size
Species
Rabbit
Isotype
IgG
Purity
Affinity purification
Additional Information
ReactivityHuman Mouse Rat
Tested applicationsWB IHC
Recommended DilutionWB 1:500 - 1:2000 IHC 1:50 - 1:200
Calculated MW35kDa
Observed MWRefer to Figures
ImmunogenRecombinant protein of human STUB1
Storage BufferStore at -20℃. Avoid freeze / thaw cycles. Buffer: PBS with 0.02% sodium azide, 50% glycerol, pH7.3.
Concentrationl
SynonymSTUB1;CHIP;HSPABP2;NY-CO-7;SDCCAG7;UBOX1 ;
Images
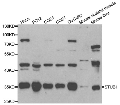
  • A1169: image 1

    Western blot analysis of extracts of various cell lines, using STUB1 antibody.

Background

The carboxy terminus of Hsc70-interacting protein (CHIP, STUB1) is a co-chaperone protein and functional E3 ubiquitin ligase that links the polypeptide binding activity of Hsp70 to the ubiquitin proteasome system (1). Cytoplasmic CHIP protein contains three 34-amino acid TPR (tetratricopeptide repeat) domains at its amino terminus and a carboxy-terminal U-box domain. CHIP interacts with the molecular chaperones Hsc70-Hsp70 and Hsp90 through its TPR domain, while E3 ubiquitin ligase activity is confined to the U-box domain (2,3). The binding of CHIP to Hsp70 can stall the folding of Hsp70 client proteins and concomitantly facilitate the U-box dependent ubiquitination of Hsp70-bound substrates (4-6). CHIP appears to play a central role in cell stress protection (7) and is responsible for the degradation of disease-related proteins that include cystic fibrosis transmembrane conductance regulator (4), p53 (8), huntingtin and Ataxin-3 (9), Tau protein (10), and α-synuclein (11).

Protocol

N/A

MSDS
Reviews
Neo Scientific welcomes feedback from its customers.

If you have used an our product and would like to share how it has performed, please click on the "Submit Review" button and provide the requested information.

If you have any additional inquiries please email technical services at info@neobiolab.com.

Thank you for your support.

promotions

Image

Custom Monoclonal Antibody
MassAb Technologies
Image
Free Trial Custom Polyclonal Antibody
You will receive free purified antibodies for validation
Image
Custom Peptides Synthesis

Start from $40/each

new technologies

Image
Optimized for enhanced
expression levels
XPromoter 2.0
Image
E.coli/insect cells/293 & CHO

3 in 1 expression system
Image
MassAb Technologies

Cover All Epitopes