TACR3-Polyclonal Antibodies

our services
our products
Quotations & Ordering:

For quotations, please use our online quotation form, and you may also contact us by

sales@neoscientific.com

Phone:

+1-888.733.6849
+1-617.299.7367 (Int’l)

Fax:

+1-888.733.6849
+1-617.299.7367 (Int’l)

Our customer service representatives are available 24 hours, Monday through Friday to assist you.

TACR3

Qty


Total
$220
Catalog #
A7220
Antibody Type
Polyclonal Antibody
Gene ID
6870
Swiss Prot
P29371
Size
Species
Rabbit
Isotype
IgG
Purity
Affinity purification
Additional Information
ReactivityHuman
Tested applicationsWB IHC
Recommended DilutionWB 1:500 - 1:2000 IHC 1:50 - 1:200
Calculated MW52kDa
Observed MWRefer to figures
ImmunogenRecombinant protein of human TACR3
Storage BufferStore at -20℃. Avoid freeze / thaw cycles. Buffer: PBS with 0.02% sodium azide, 50% glycerol, pH7.3.
SynonymNKR; HH11; NK3R; NK-3R; TAC3RL;
Images
  • A7220: image 1

    Western blot analysis of extracts of various cell lines, using TACR3 antibody.

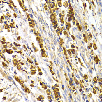
  • A7220: image 2

    Immunohistochemistry of paraffin-embedded human stomach cancer using TACR3 antibody at dilution of 1:100 (x400 lens).

Background

This gene belongs to a family of genes that function as receptors for tachykinins. Receptor affinities are specified by variations in the 5'-end of the sequence. The receptors belonging to this family are characterized by interactions with G proteins and 7 hydrophobic transmembrane regions. This gene encodes the receptor for the tachykinin neurokinin 3, also referred to as neurokinin B.

Protocol

N/A

MSDS
Reviews
Neo Scientific welcomes feedback from its customers.

If you have used an our product and would like to share how it has performed, please click on the "Submit Review" button and provide the requested information.

If you have any additional inquiries please email technical services at info@neobiolab.com.

Thank you for your support.

promotions

Image

Custom Monoclonal Antibody
MassAb Technologies
Image
Free Trial Custom Polyclonal Antibody
You will receive free purified antibodies for validation
Image
Custom Peptides Synthesis

Start from $40/each

new technologies

Image
Optimized for enhanced
expression levels
XPromoter 2.0
Image
E.coli/insect cells/293 & CHO

3 in 1 expression system
Image
MassAb Technologies

Cover All Epitopes