For quotations, please use our online quotation form, and you may also contact us by
sales@neoscientific.com
+1-888.733.6849
+1-617.299.7367 (Int’l)
+1-888.733.6849
+1-617.299.7367 (Int’l)
| Reactivity | Human Mouse |
| Tested applications | WB IHC IF |
| Recommended Dilution | WB 1:500 - 1:2000 IHC 1:50 - 1:200 IF 1:50 - 1:200 |
| Calculated MW | 49kDa |
| Observed MW | Refer to figures |
| Immunogen | Recombinant protein of human TEAD3 |
| Storage Buffer | Store at -20℃. Avoid freeze / thaw cycles. Buffer: PBS with 0.02% sodium azide, 50% glycerol, pH7.3. |
| Synonym | TEF5; TEAD5; TEF-5; DTEF-1; ETFR-1; TEAD-3; |

Western blot analysis of extracts of various cell lines, using TEAD3 antibody.

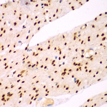
Immunohistochemistry of paraffin-embedded human colon using TEAD3 antibody at dilution of 1:100 (x400 lens).

Immunofluorescence analysis of A549 cell using TEAD3 antibody.

Immunofluorescence analysis of A549 cell using TEAD3 antibody. Blue: DAPI for nuclear staining.
This gene product is a member of the transcriptional enhancer factor (TEF) family of transcription factors, which contain the TEA/ATTS DNA-binding domain. It is predominantly expressed in the placenta and is involved in the transactivation of the chorionic somatomammotropin-B gene enhancer. Translation of this protein is initiated at a non-AUG (AUA) start codon.
N/A