For quotations, please use our online quotation form, and you may also contact us by
sales@neoscientific.com
+1-888.733.6849
+1-617.299.7367 (Int’l)
+1-888.733.6849
+1-617.299.7367 (Int’l)
| Reactivity | Human Mouse Rat |
| Tested applications | WB IHC |
| Recommended Dilution | WB 1:500 - 1:2000 IHC 1:50 - 1:200 |
| Calculated MW | 38kDa |
| Observed MW | Refer to Figures |
| Immunogen | Recombinant protein of human TOR1A |
| Storage Buffer | Store at -20℃. Avoid freeze / thaw cycles. Buffer: PBS with 0.02% sodium azide, 50% glycerol, pH7.3. |
| Synonym | DQ2; DYT1; TorsinA; |

Western blot analysis of extracts of various cell lines, using TOR1A antibody.

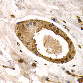
Immunohistochemistry of paraffin-embedded human normal breast using TOR1A antibody at dilution of 1:200 (400x lens).

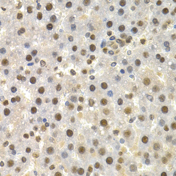
Immunohistochemistry of paraffin-embedded rat liver using TOR1A antibody at dilution of 1:200 (400x lens).
The neurological condition Dystonia is associated with sustained muscle contractions and abnormal posturing (1). TorsinA, torsinB, torp2A and torp3A belong to the family of ATPases associated with cellular activites (AAA+) and mutations in torsinA cause early onset dystonia (2). TorsinA has been shown to suppress intracellular protein aggregation in C. elegans and possesses chaperon activity. Interestingly, torsinA is highly expressed in dopaminergic neurons and associates with alpha-synuclein in Lewy bodies, which pathologically characterize Parkinson's Disease (3-5).
N/A