TP63-Polyclonal Antibodies

our services
our products
Quotations & Ordering:

For quotations, please use our online quotation form, and you may also contact us by

sales@neoscientific.com

Phone:

+1-888.733.6849
+1-617.299.7367 (Int’l)

Fax:

+1-888.733.6849
+1-617.299.7367 (Int’l)

Our customer service representatives are available 24 hours, Monday through Friday to assist you.

TP63

Qty


Total
$220
Catalog #
A2137
Antibody Type
Polyclonal Antibody
Gene ID
8626
Swiss Prot
Q9H3D4
Size
Species
Rabbit
Isotype
IgG
Purity
Affinity purification
Additional Information
ReactivityHuman Mouse Rat
Tested applicationsWB IHC IF
Recommended DilutionWB 1:500 - 1:2000 IHC 1:50 - 1:200 IF 1:10 - 1:100
Calculated MW77kDa
Observed MWRefer to Figures
ImmunogenRecombinant protein of human TP63
Storage BufferStore at -20℃. Avoid freeze / thaw cycles. Buffer: PBS with 0.02% sodium azide, 50% glycerol, pH7.3.
Concentrationbk
SynonymAIS; B(p51A); B(p51B); EEC3; KET; LMS; NBP; OFC8; RHS; SHFM4; TP53CP; TP53L; TP73L; p40; p51; p53CP; p63; p73H; p73L;
Images
  • A2137: image 1

    Western blot analysis of extracts of various cell lines, using TP63 antibody.

  • A2137: image 2

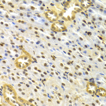
    Immunohistochemistry of paraffin-embedded rat kidney using TP63 antibody at dilution of 1:100 (x400 lens).

  • A2137: image 3

    Immunofluorescence analysis of U2OS cell using TP63 antibody. Blue: DAPI for nuclear staining.

Background

The p53 tumor suppressor protein plays a major role in cellular response to DNA damage and other genomic aberrations. Activation of p53 can lead to either cell cycle arrest and DNA repair or apoptosis (1). In addition to p53, mammalian cells contain two p53 family members, p63 and p73, which are similar to p53 in both structure and function (2). While p63 can induce p53-responsive genes and apoptosis, mutation of p63 rarely results in tumors (2). Amplification of the p63 gene is frequently observed in squamous cell carcinomas of the lung, head and neck (2,3). The p63 gene contains an alternative transcription intiation site that yields a 40 kDa deltaNp63 lacking the transactivation domain, and alternative splicing at the carboxy-terminus yields the alpha, beta and gamma isoforms (3,4).

Protocol

N/A

MSDS
Reviews
Neo Scientific welcomes feedback from its customers.

If you have used an our product and would like to share how it has performed, please click on the "Submit Review" button and provide the requested information.

If you have any additional inquiries please email technical services at info@neobiolab.com.

Thank you for your support.

promotions

Image

Custom Monoclonal Antibody
MassAb Technologies
Image
Free Trial Custom Polyclonal Antibody
You will receive free purified antibodies for validation
Image
Custom Peptides Synthesis

Start from $40/each

new technologies

Image
Optimized for enhanced
expression levels
XPromoter 2.0
Image
E.coli/insect cells/293 & CHO

3 in 1 expression system
Image
MassAb Technologies

Cover All Epitopes