For quotations, please use our online quotation form, and you may also contact us by
sales@neoscientific.com
+1-888.733.6849
+1-617.299.7367 (Int’l)
+1-888.733.6849
+1-617.299.7367 (Int’l)
| Reactivity | Human Mouse Rat |
| Tested applications | WB IHC |
| Recommended Dilution | WB 1:500 - 1:1000 IHC 1:50 - 1:100 |
| Calculated MW | 33kDa |
| Observed MW | Refer to Figures |
| Immunogen | A synthetic peptide of human TPM2 |
| Storage Buffer | Store at -20℃. Avoid freeze / thaw cycles. Buffer: PBS with 0.02% sodium azide, 50% glycerol, pH7.3. |
| Synonym | DA1; DA2B; NEM4; TMSB; AMCD1; |

Western blot analysis of extracts of various cell lines, using TPM2 antibody.

Immunohistochemistry of paraffin-embedded human lung cancer tissue using TPM2 antibody.

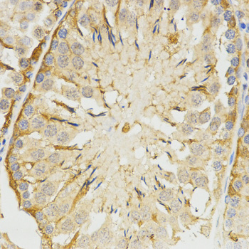
Immunohistochemistry of paraffin-embedded rat testis tissue using TPM2 antibody at dilution of 1:200 (x400 lens)

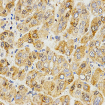
Immunohistochemistry of paraffin-embedded human liver cancer tissue using TPM2 antibody at dilution of 1:200 (x400 lens)

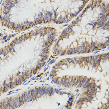
Immunohistochemistry of paraffin-embedded human rectal cancer tissue using TPM2 antibody at dilution of 1:200 (x400 lens)
This gene encodes beta-tropomyosin, a member of the actin filament binding protein family, and mainly expressed in slow, type 1 muscle fibers. Mutations in this gene can alter the expression of other sarcomeric tropomyosin proteins, and cause cap disease, nemaline myopathy and distal arthrogryposis syndromes. Alternatively spliced transcript variants encoding different isoforms have been found for this gene.
N/A