For quotations, please use our online quotation form, and you may also contact us by
sales@neoscientific.com
+1-888.733.6849
+1-617.299.7367 (Int’l)
+1-888.733.6849
+1-617.299.7367 (Int’l)
| Reactivity | Human Mouse |
| Tested applications | WB IHC IF |
| Recommended Dilution | WB 1:200 - 1:1000 IHC 1:50 - 1:200 IF 1:50 - 1:200 |
| Calculated MW | 64kDa |
| Observed MW | Refer to Figures |
| Immunogen | A synthetic peptide of human TRAF3 |
| Storage Buffer | Store at -20℃. Avoid freeze / thaw cycles. Buffer: PBS with 0.02% sodium azide, 50% glycerol, pH7.3. |
| Concentration | blps |
| Synonym | CAP1; LAP1; CAP-1; CRAF1; IIAE5; CD40bp |

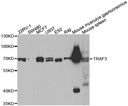
Western blot analysis of extracts of various cell lines, using TRAF3 antibody.

Immunohistochemistry of paraffin-embedded human tonsil tissue using TRAF3 antibody.

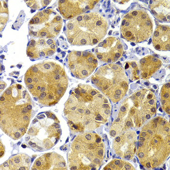
Immunohistochemistry of paraffin-embedded human stomach using TRAF3 antibody at dilution of 1:100 (x400 lens).

Immunofluorescence analysis of HeLa cell using TRAF3 antibody. Blue: DAPI for nuclear staining.
The protein encoded by this gene is a member of the TNF receptor associated factor (TRAF) protein family. TRAF proteins associate with, and mediate the signal transduction from, members of the TNF receptor (TNFR) superfamily. This protein participates in the signal transduction of CD40, a TNFR family member important for the activation of the immune response. This protein is found to be a critical component of the lymphotoxin-beta receptor (LTbetaR) signaling complex, which induces NF-kappaB activation and cell death initiated by LTbeta ligation. Epstein-Barr virus encoded latent infection membrane protein-1 (LMP1) can interact with this and several other members of the TRAF family, which may be essential for the oncogenic effects of LMP1. Several alternatively spliced transcript variants encoding three distinct isoforms have been reported.
N/A