TRAF7-Polyclonal Antibodies

our services
our products
Quotations & Ordering:

For quotations, please use our online quotation form, and you may also contact us by

sales@neoscientific.com

Phone:

+1-888.733.6849
+1-617.299.7367 (Int’l)

Fax:

+1-888.733.6849
+1-617.299.7367 (Int’l)

Our customer service representatives are available 24 hours, Monday through Friday to assist you.

TRAF7

Qty


Total
$220
Catalog #
A3095
Antibody Type
Polyclonal Antibody
Gene ID
84231
Swiss Prot
Q6Q0C0
Size
Species
Rabbit
Isotype
IgG
Purity
Affinity purification
Additional Information
ReactivityHuman Mouse Rat
Tested applicationsWB IHC
Recommended DilutionWB 1:500 - 1:1000 IHC 1:50 - 1:100
Calculated MW67kD
Observed MWRefer to Figures
ImmunogenA synthetic peptide of human TRAF7
Storage BufferStore at -20℃. Avoid freeze / thaw cycles. Buffer: PBS with 0.02% sodium azide, 50% glycerol, pH7.3.
Concentrationbl
SynonymRFWD1; RNF119;
Images
  • A3095: image 1

    Western blot analysis of extracts of mouse fetal stomach cell line, using TRAF7 antibody.

  • A3095: image 2

    Immunohistochemistry of paraffin-embedded human colon cancer tissue, using TRAF7 antibody.

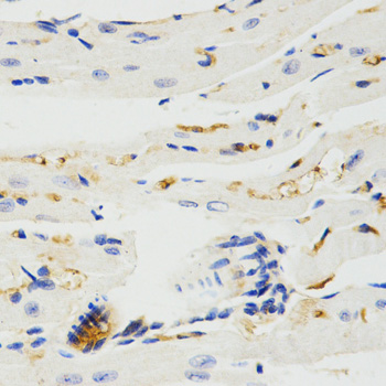
  • A3095: image 3

    Immunohistochemistry of paraffin-embedded rat heart tissue using TRAF7 antibody at dilution of 1:200 (x400 lens)

Background

Tumor necrosis factor (TNF; see MIM 191160) receptor-associated factors, such as TRAF7, are signal transducers for members of the TNF receptor superfamily (see MIM 191190). TRAFs are composed of an N-terminal cysteine/histidine-rich region containing zinc RING and/or zinc finger motifs; a coiled-coil (leucine zipper) motif; and a homologous region that defines the TRAF family, the TRAF domain, which is involved in self-association and receptor binding.

Protocol

N/A

MSDS
Reviews
Neo Scientific welcomes feedback from its customers.

If you have used an our product and would like to share how it has performed, please click on the "Submit Review" button and provide the requested information.

If you have any additional inquiries please email technical services at info@neobiolab.com.

Thank you for your support.

promotions

Image

Custom Monoclonal Antibody
MassAb Technologies
Image
Free Trial Custom Polyclonal Antibody
You will receive free purified antibodies for validation
Image
Custom Peptides Synthesis

Start from $40/each

new technologies

Image
Optimized for enhanced
expression levels
XPromoter 2.0
Image
E.coli/insect cells/293 & CHO

3 in 1 expression system
Image
MassAb Technologies

Cover All Epitopes