For quotations, please use our online quotation form, and you may also contact us by
sales@neoscientific.com
+1-888.733.6849
+1-617.299.7367 (Int’l)
+1-888.733.6849
+1-617.299.7367 (Int’l)
| Reactivity | Human Mouse Rat |
| Tested applications | WB IHC IF |
| Recommended Dilution | WB 1:500 - 1:2000 IHC 1:50 - 1:100 IF 1:50 - 1:100 |
| Calculated MW | 40kDa |
| Observed MW | Refer to Figures |
| Immunogen | A synthetic peptide of human TRIM63 |
| Storage Buffer | Store at -20℃. Avoid freeze / thaw cycles. Buffer: PBS with 0.02% sodium azide, 50% glycerol, pH7.3. |
| Concentration | l |
| Synonym | IRF; SMRZ; MURF1; MURF2; RNF28; |

Western blot analysis of extracts of mouse heart cell line, using TRIM63 antibody.

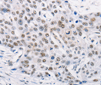
Immunohistochemistry of paraffin-embedded human esophagus cancer tissue using TRIM63 antibody.

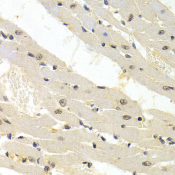
Immunohistochemistry of paraffin-embedded rat heart using TRIM63 antibody at dilution of 1:200 (400x lens).

Immunofluorescence analysis of A549 cell using TRIM63 antibody. Blue: DAPI for nuclear staining.
This gene encodes a member of the RING zinc finger protein family found in striated muscle and iris. The product of this gene is an E3 ubiquitin ligase that localizes to the Z-line and M-line lattices of myofibrils. This protein plays an important role in the atrophy of skeletal and cardiac muscle and is required for the degradation of myosin heavy chain proteins, myosin light chain, myosin binding protein, and for muscle-type creatine kinase.
N/A