For quotations, please use our online quotation form, and you may also contact us by
sales@neoscientific.com
+1-888.733.6849
+1-617.299.7367 (Int’l)
+1-888.733.6849
+1-617.299.7367 (Int’l)
| Reactivity | Human Mouse Rat Other (Wide Range) |
| Tested applications | WB IHC IF IP CHIP CHIPseq |
| Recommended Dilution | WB 1:500 - 1:2000 IHC 1:50 - 1:200 IF 1:50 - 1:200 IP 1:50 - 1:200 ChIP 1:20 - 1:100 CHIPseq 1:20 - 1:100 |
| Calculated MW | 11kDa |
| Observed MW | Refer to Figures |
| Immunogen | A synthetic methylated peptide corresponding to residues surrounding K20 of human histone H4 |
| Storage Buffer | Store at -20℃. Avoid freeze / thaw cycles. Buffer: PBS with 0.02% sodium azide, 50% glycerol, pH7.3. |
| Concentration | u |
| Synonym | H4K20me3; H4; H4/n; H4F2; H4FN; FO108; HIST2H4 |

Western blot analysis of extracts of HeLa cell line and H4 protein expressed in E.coli., using H4K20me3 antibody.

Dot-blot analysis of all sorts of methylation peptides using H4K20me3 antibody.

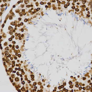
Immunohistochemistry of paraffin-embedded rat testis tissue using H4K20me3 antibody at dilution of 1:200 (x400 lens).

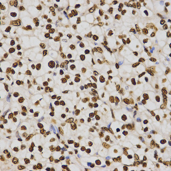
Immunohistochemistry of paraffin-embedded human kidney cancer tissue using H4K20me3 antibody at dilution of 1:200 (x400 lens).

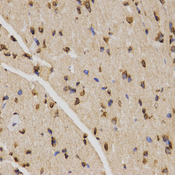
Immunohistochemistry of paraffin-embedded mouse heart tissue using H4K20me3 antibody at dilution of 1:200 (x400 lens).

Immunofluorescence analysis of 293T cell using H4K20me3 antibody. Blue: DAPI for nuclear staining.
Histones are basic nuclear proteins that are responsible for the nucleosome structure of the chromosomal fiber in eukaryotes. This structure consists of approximately 146 bp of DNA wrapped around a nucleosome, an octamer composed of pairs of each of the four core histones (H2A, H2B, H3, and H4). The chromatin fiber is further compacted through the interaction of a linker histone, H1, with the DNA between the nucleosomes to form higher order chromatin structures. This gene is intronless and encodes a member of the histone H4 family. Transcripts from this gene lack polyA tails; instead, they contain a palindromic termination element. This gene is found in a histone cluster on chromosome 1. This gene is one of four histone genes in the cluster that are duplicated; this record represents the centromeric copy.
N/A