UBE2J2-Polyclonal Antibodies

our services
our products
Quotations & Ordering:

For quotations, please use our online quotation form, and you may also contact us by

sales@neoscientific.com

Phone:

+1-888.733.6849
+1-617.299.7367 (Int’l)

Fax:

+1-888.733.6849
+1-617.299.7367 (Int’l)

Our customer service representatives are available 24 hours, Monday through Friday to assist you.

UBE2J2

Qty


Total
$220
Catalog #
A7316
Antibody Type
Polyclonal Antibody
Gene ID
118424
Swiss Prot
Q8N2K1
Size
Species
Rabbit
Isotype
IgG
Purity
Affinity purification
Additional Information
ReactivityHuman Mouse Rat
Tested applicationsWB IHC IF
Recommended DilutionWB 1:500 - 1:2000 IHC 1:50 - 1:200 IF 1:50 - 1:100
Calculated MW29kDa
Observed MWRefer to figures
ImmunogenRecombinant protein of human UBE2J2
Storage BufferStore at -20℃. Avoid freeze / thaw cycles. Buffer: PBS with 0.02% sodium azide, 50% glycerol, pH7.3.
SynonymNCUBE2; NCUBE-2; PRO2121;
Images
  • A7316: image 1

    Western blot analysis of extracts of various cells, using UBE2J2 antibody.

  • A7316: image 2

    Immunofluorescence analysis of MCF7 cell using UBE2J2 antibody. Blue: DAPI for nuclear staining.

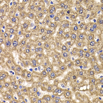
  • A7316: image 3

    Immunohistochemistry of paraffin-embedded rat liver using UBE2J2 antibody at dilution of 1:100 (x40 lens).

Background

The modification of proteins with ubiquitin is an important cellular mechanism for targeting abnormal or short-lived proteins for degradation. Ubiquitination involves at least three classes of enzymes: ubiquitin-activating enzymes, or E1s, ubiquitin-conjugating enzymes, or E2s, and ubiquitin-protein ligases, or E3s. This gene encodes a member of the E2 ubiquitin-conjugating enzyme family. This enzyme is located in the membrane of the endoplasmic reticulum. Multiple alternatively spliced transcript variants have been found for this gene, but the full-length nature of some variants has not been defined.

Protocol

N/A

MSDS
Reviews
Neo Scientific welcomes feedback from its customers.

If you have used an our product and would like to share how it has performed, please click on the "Submit Review" button and provide the requested information.

If you have any additional inquiries please email technical services at info@neobiolab.com.

Thank you for your support.

promotions

Image

Custom Monoclonal Antibody
MassAb Technologies
Image
Free Trial Custom Polyclonal Antibody
You will receive free purified antibodies for validation
Image
Custom Peptides Synthesis

Start from $40/each

new technologies

Image
Optimized for enhanced
expression levels
XPromoter 2.0
Image
E.coli/insect cells/293 & CHO

3 in 1 expression system
Image
MassAb Technologies

Cover All Epitopes