For quotations, please use our online quotation form, and you may also contact us by
sales@neoscientific.com
+1-888.733.6849
+1-617.299.7367 (Int’l)
+1-888.733.6849
+1-617.299.7367 (Int’l)
| Reactivity | Human Mouse Rat |
| Tested applications | WB IHC IF |
| Recommended Dilution | WB 1:500 - 1:2000 IHC 1:50 - 1:200 IF 1:50 - 1:200 |
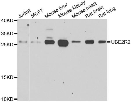
| Calculated MW | 27kDa |
| Observed MW | Refer to figures |
| Immunogen | Recombinant protein of human UBE2R2 |
| Storage Buffer | Store at -20℃. Avoid freeze / thaw cycles. Buffer: PBS with 0.02% sodium azide, 50% glycerol, pH7.3. |
| Synonym | UBC3B; CDC34B; E2-CDC34B; |

Western blot analysis of extracts of various cell lines, using UBE2R2 antibody.

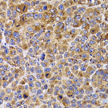
Immunohistochemistry of paraffin-embedded mouse cancer using UBE2R2 antibody at dilution of 1:100 (x400 lens).

Immunofluorescence analysis of A549 cell using UBE2R2 antibody.

Immunofluorescence analysis of A549 cell using UBE2R2 antibody.
Protein kinase CK2 is a ubiquitous and pleiotropic Ser/Thr protein kinase involved in cell growth and transformation. This gene encodes a protein similar to the E2 ubiquitin conjugating enzyme UBC3/CDC34. Studies suggest that CK2-dependent phosphorylation of this ubiquitin-conjugating enzyme functions by regulating beta-TrCP substrate recognition and induces its interaction with beta-TrCP, enhancing beta-catenin degradation.
N/A