For quotations, please use our online quotation form, and you may also contact us by
sales@neoscientific.com
+1-888.733.6849
+1-617.299.7367 (Int’l)
+1-888.733.6849
+1-617.299.7367 (Int’l)
| Reactivity | Human Mouse Rat |
| Tested applications | WB IHC IF |
| Recommended Dilution | WB 1:500 - 1:2000 IHC 1:50 - 1:200 IF 1:50 - 1:100 |
| Calculated MW | 52kDa |
| Observed MW | Refer to figures |
| Immunogen | Recombinant protein of human UMPS |
| Storage Buffer | Store at -20℃. Avoid freeze / thaw cycles. Buffer: PBS with 0.02% sodium azide, 50% glycerol, pH7.3. |
| Synonym | OPRT; |

Western blot analysis of extracts of Jurkat cells, using UMPS antibody.

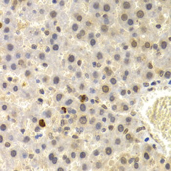
Immunohistochemistry of paraffin-embedded rat liver using UMPS antibody at dilution of 1:200 (400x lens).

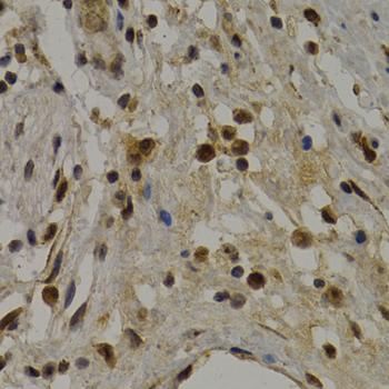
Immunohistochemistry of paraffin-embedded rat brain using UMPS antibody at dilution of 1:200 (400x lens).

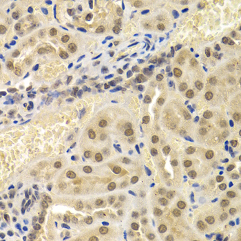
Immunohistochemistry of paraffin-embedded mouse kidney using UMPS antibody at dilution of 1:200 (400x lens).

Immunohistochemistry of paraffin-embedded mouse brain using UMPS antibody at dilution of 1:200 (400x lens).

Immunohistochemistry of paraffin-embedded human colon damage using UMPS antibody at dilution of 1:200 (400x lens).

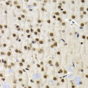
Immunohistochemistry of paraffin-embedded human normal stomach using UMPS antibody at dilution of 1:200 (400x lens).

Immunofluorescence analysis of HeLa cell using UMPS antibody.
This gene encodes a uridine 5'-monophosphate synthase. The encoded protein is a bifunctional enzyme that catalyzes the final two steps of the de novo pyrimidine biosynthetic pathway. The first reaction is carried out by the N-terminal enzyme orotate phosphoribosyltransferase which converts orotic acid to orotidine-5'-monophosphate. The terminal reaction is carried out by the C-terminal enzyme OMP decarboxylase which converts orotidine-5'-monophosphate to uridine monophosphate. Defects in this gene are the cause of hereditary orotic aciduria. Alternate splicing results in multiple transcript variants.
N/A