WHSC1-Polyclonal Antibodies

our services
our products
Quotations & Ordering:

For quotations, please use our online quotation form, and you may also contact us by

sales@neoscientific.com

Phone:

+1-888.733.6849
+1-617.299.7367 (Int’l)

Fax:

+1-888.733.6849
+1-617.299.7367 (Int’l)

Our customer service representatives are available 24 hours, Monday through Friday to assist you.

WHSC1

Qty


Total
$220
Catalog #
A7938
Antibody Type
Polyclonal Antibody
Gene ID
7468
Swiss Prot
O96028
Size
Species
Rabbit
Isotype
IgG
Purity
Affinity purification
Additional Information
ReactivityHuman Mouse
Tested applicationsWB IHC
Recommended DilutionWB 1:500 - 1:2000 IHC 1:50 - 1:200
Calculated MW152kDa
Observed MWRefer to figures
ImmunogenRecombinant protein of human WHSC1
Storage BufferStore at -20℃. Avoid freeze / thaw cycles. Buffer: PBS with 0.02% sodium azide, 50% glycerol, pH7.3.
SynonymWHS; NSD2; TRX5; MMSET; REIIBP;
Images
  • A7938: image 1

    Western blot analysis of extracts of various cells, using WHSC1 antibody.

  • A7938: image 2

    Immunohistochemistry of paraffin-embedded mouse lung using WHSC1 antibody at dilution of 1:100 (40x lens).

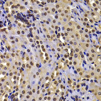
  • A7938: image 3

    Immunohistochemistry of paraffin-embedded mouse kidney using WHSC1 antibody at dilution of 1:100 (40x lens).

Background

This gene encodes a protein that contains four domains present in other developmental proteins: a PWWP domain, an HMG box, a SET domain, and a PHD-type zinc finger. It is expressed ubiquitously in early development. Wolf-Hirschhorn syndrome (WHS) is a malformation syndrome associated with a hemizygous deletion of the distal short arm of chromosome 4. This gene maps to the 165 kb WHS critical region and has also been involved in the chromosomal translocation t(4;14)(p16.3;q32.3) in multiple myelomas. Alternative splicing of this gene results in multiple transcript variants encoding different isoforms. Some transcript variants are nonsense-mediated mRNA (NMD) decay candidates, hence not represented as reference sequences.

Protocol

N/A

MSDS
Reviews
Neo Scientific welcomes feedback from its customers.

If you have used an our product and would like to share how it has performed, please click on the "Submit Review" button and provide the requested information.

If you have any additional inquiries please email technical services at info@neobiolab.com.

Thank you for your support.

promotions

Image

Custom Monoclonal Antibody
MassAb Technologies
Image
Free Trial Custom Polyclonal Antibody
You will receive free purified antibodies for validation
Image
Custom Peptides Synthesis

Start from $40/each

new technologies

Image
Optimized for enhanced
expression levels
XPromoter 2.0
Image
E.coli/insect cells/293 & CHO

3 in 1 expression system
Image
MassAb Technologies

Cover All Epitopes