WIPI2-Polyclonal Antibodies

our services
our products
Quotations & Ordering:

For quotations, please use our online quotation form, and you may also contact us by

sales@neoscientific.com

Phone:

+1-888.733.6849
+1-617.299.7367 (Int’l)

Fax:

+1-888.733.6849
+1-617.299.7367 (Int’l)

Our customer service representatives are available 24 hours, Monday through Friday to assist you.

WIPI2

Qty


Total
$220
Catalog #
A7537
Antibody Type
Polyclonal Antibody
Gene ID
26100
Swiss Prot
Q9Y4P8
Size
Species
Rabbit
Isotype
IgG
Purity
Affinity purification
Additional Information
ReactivityHuman Mouse Rat
Tested applicationsWB IHC
Recommended DilutionWB 1:500 - 1:2000 IHC 1:50 - 1:200
Calculated MW49kDa
Observed MWRefer to figures
ImmunogenRecombinant protein of human WIPI2
Storage BufferStore at -20℃. Avoid freeze / thaw cycles. Buffer: PBS with 0.02% sodium azide, 50% glycerol, pH7.3.
SynonymAtg21; ATG18B; CGI-50; WIPI-2;
Images
  • A7537: image 1

    Western blot analysis of extracts of various cell lines, using WIPI2 antibody.

  • A7537: image 2

    Immunohistochemistry of paraffin-embedded human kidney using WIPI2 antibody at dilution of 1:100 (x400 lens).

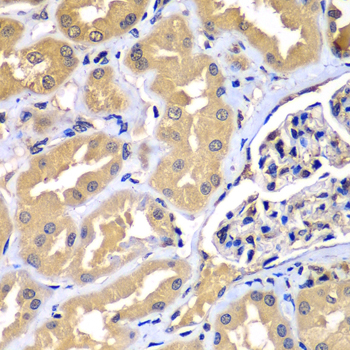
  • A7537: image 3

    Immunohistochemistry of paraffin-embedded mouse kidney using WIPI2 antibody at dilution of 1:100 (x400 lens).

Background

WD40 repeat proteins are key components of many essential biologic functions. They regulate the assembly of multiprotein complexes by presenting a beta-propeller platform for simultaneous and reversible protein-protein interactions. Members of the WIPI subfamily of WD40 repeat proteins, such as WIPI2, have a 7-bladed propeller structure and contain a conserved motif for interaction with phospholipids.

Protocol

N/A

MSDS
Reviews
Neo Scientific welcomes feedback from its customers.

If you have used an our product and would like to share how it has performed, please click on the "Submit Review" button and provide the requested information.

If you have any additional inquiries please email technical services at info@neobiolab.com.

Thank you for your support.

promotions

Image

Custom Monoclonal Antibody
MassAb Technologies
Image
Free Trial Custom Polyclonal Antibody
You will receive free purified antibodies for validation
Image
Custom Peptides Synthesis

Start from $40/each

new technologies

Image
Optimized for enhanced
expression levels
XPromoter 2.0
Image
E.coli/insect cells/293 & CHO

3 in 1 expression system
Image
MassAb Technologies

Cover All Epitopes