For quotations, please use our online quotation form, and you may also contact us by
sales@neoscientific.com
+1-888.733.6849
+1-617.299.7367 (Int’l)
+1-888.733.6849
+1-617.299.7367 (Int’l)
| Reactivity | Human Mouse Rat |
| Tested applications | WB IHC IF |
| Recommended Dilution | WB 1:500 - 1:2000 IHC 1:50 - 1:200 IF 1:10 - 1:100 |
| Calculated MW | 38kDa |
| Observed MW | Refer to Figures |
| Immunogen | Recombinant protein of human XRCC4 |
| Storage Buffer | Store at -20℃. Avoid freeze / thaw cycles. Buffer: PBS with 0.02% sodium azide, 50% glycerol, pH7.3. |
| Concentration | be |
| Synonym | XRCC4;DNA repair protein XRCC4; X-ray repair cross-complementing protein 4; |

Western blot analysis of extracts of various cell lines, using XRCC4 antibody.

Immunohistochemistry of paraffin-embedded rat pancreas using XRCC4 antibody at dilution of 1:200 (400x lens).

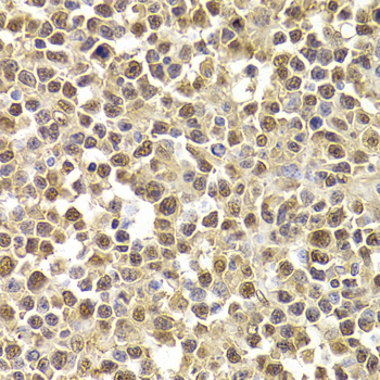
Immunohistochemistry of paraffin-embedded human B cell lymphoma using XRCC4 antibody at dilution of 1:200 (400x lens).

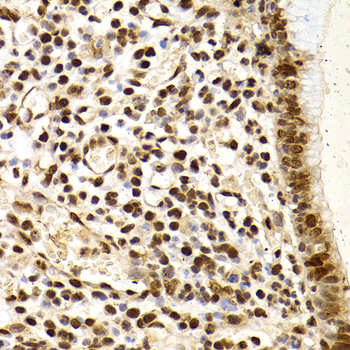
Immunohistochemistry of paraffin-embedded human stomach cancer using XRCC4 antibody at dilution of 1:200 (400x lens).
The protein encoded by this gene functions together with DNA ligase IV and the DNA-dependent protein kinase in the repair of DNA double-strand break by non-homologous end joining and the completion of V(D)J recombination events. The non-homologous end-joining pathway is required both for normal development and for suppression of tumors. This gene functionally complements XR-1 Chinese hamster ovary cell mutant, which is impaired in DNA double-strand breaks produced by ionizing radiation and restriction enzymes. Alternative transcription initiation and alternative splicing generates several transcript variants. [provided by RefSeq, Sep 2008]
N/A