ZAK-Polyclonal Antibodies

our services
our products
Quotations & Ordering:

For quotations, please use our online quotation form, and you may also contact us by

sales@neoscientific.com

Phone:

+1-888.733.6849
+1-617.299.7367 (Int’l)

Fax:

+1-888.733.6849
+1-617.299.7367 (Int’l)

Our customer service representatives are available 24 hours, Monday through Friday to assist you.

ZAK

Qty


Total
$220
Catalog #
A7371
Antibody Type
Polyclonal Antibody
Gene ID
51776
Swiss Prot
Q9NYL2
Size
Species
Rabbit
Isotype
IgG
Purity
Affinity purification
Additional Information
ReactivityHuman Mouse
Tested applicationsWB IF
Recommended DilutionWB 1:500 - 1:2000 IF 1:20 - 1:50
Calculated MW91kDa
Observed MWRefer to figures
ImmunogenRecombinant protein of human ZAK
Storage BufferStore at -20℃. Avoid freeze / thaw cycles. Buffer: PBS with 0.02% sodium azide, 50% glycerol, pH7.3.
Synonympk; AZK; MLT; MRK; MLK7; MLTK; mlklak;
Images
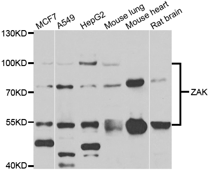
  • A7371: image 1

    Western blot analysis of extracts of various cell lines, using ZAK antibody.

  • A7371: image 2

    Immunofluorescence analysis of A549 cell using ZAK antibody. Blue: DAPI for nuclear staining.

  • A7371: image 3

    Immunofluorescence analysis of A549 cell using ZAK antibody. Blue: DAPI for nuclear staining.

Background

This gene is a member of the MAPKKK family of signal transduction molecules and encodes a protein with an N-terminal kinase catalytic domain, followed by a leucine zipper motif and a sterile-alpha motif (SAM). This magnesium-binding protein forms homodimers and is located in the cytoplasm. The protein mediates gamma radiation signaling leading to cell cycle arrest and activity of this protein plays a role in cell cycle checkpoint regulation in cells. The protein also has pro-apoptotic activity. Alternate transcriptional splice variants, encoding different isoforms, have been characterized.

Protocol

N/A

MSDS
Reviews
Neo Scientific welcomes feedback from its customers.

If you have used an our product and would like to share how it has performed, please click on the "Submit Review" button and provide the requested information.

If you have any additional inquiries please email technical services at info@neobiolab.com.

Thank you for your support.

promotions

Image

Custom Monoclonal Antibody
MassAb Technologies
Image
Free Trial Custom Polyclonal Antibody
You will receive free purified antibodies for validation
Image
Custom Peptides Synthesis

Start from $40/each

new technologies

Image
Optimized for enhanced
expression levels
XPromoter 2.0
Image
E.coli/insect cells/293 & CHO

3 in 1 expression system
Image
MassAb Technologies

Cover All Epitopes