For quotations, please use our online quotation form, and you may also contact us by
sales@neoscientific.com
+1-888.733.6849
+1-617.299.7367 (Int’l)
+1-888.733.6849
+1-617.299.7367 (Int’l)
| Reactivity | Human Mouse Rat |
| Tested applications | WB IHC ICC IP |
| Recommended Dilution | WB 1:500 - 1:2000 IHC 1:50 - 1:200 ICC 1:50 - 1:200 IP 1:50 - 1:100 |
| Calculated MW | 70kDa |
| Observed MW | Refer to Figures |
| Immunogen | Recombinant protein of human ZAP70 |
| Storage Buffer | Store at -20℃. Avoid freeze / thaw cycles. Buffer: PBS with 0.02% sodium azide, 50% glycerol, pH7.3. |
| Concentration | n |
| Synonym | FLJ17670; FLJ17679; SRK; STD; TZK; ZAP-70; |

Western blot analysis of extracts of various cell lines, using ZAP70 antibody.

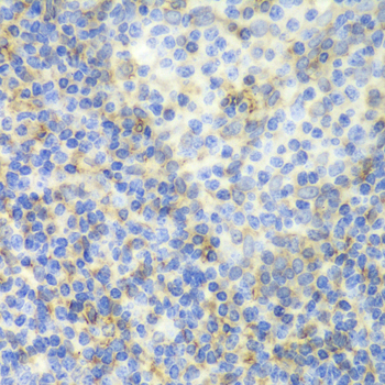
Immunohistochemistry of paraffin-embedded human amygdalitis using ZAP70 antibody at dilution of 1:100 (400x lens).

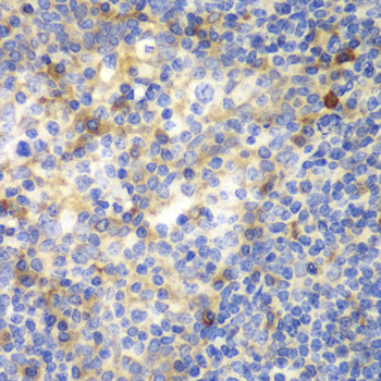
Immunohistochemistry of paraffin-embedded human amygdalitis using ZAP70 antibody at dilution of 1:100 (400x lens).
The Syk family protein tyrosine kinase Zap-70 is expressed in T and NK cells and plays a critical role in mediating T cell activation in response to T cell receptor (TCR) engagement (1). Following TCR engagement, Zap-70 is rapidly phosphorylated on several tyrosine residues through autophosphorylation and transphosphorylation by the Src family tyrosine kinase Lck (2-6). Tyrosine phosphorylation correlates with increased Zap-70 kinase activity and downstream signaling events. Expression of Zap-70 is correlated with disease progression and survival in patients with chronic lymphocytic leukemia (7,8).
N/A