ZFAND3-Polyclonal Antibodies

our services
our products
Quotations & Ordering:

For quotations, please use our online quotation form, and you may also contact us by

sales@neoscientific.com

Phone:

+1-888.733.6849
+1-617.299.7367 (Int’l)

Fax:

+1-888.733.6849
+1-617.299.7367 (Int’l)

Our customer service representatives are available 24 hours, Monday through Friday to assist you.

ZFAND3

Qty


Total
$220
Catalog #
A7478
Antibody Type
Polyclonal Antibody
Gene ID
60685
Swiss Prot
Q9H8U3
Size
Species
Rabbit
Isotype
IgG
Purity
Affinity purification
Additional Information
ReactivityHuman Mouse Rat
Tested applicationsWB IHC
Recommended DilutionWB 1:500 - 1:2000 IHC 1:50 - 1:200
Calculated MW25kDa
Observed MWRefer to figures
ImmunogenRecombinant protein of human ZFAND3
Storage BufferStore at -20℃. Avoid freeze / thaw cycles. Buffer: PBS with 0.02% sodium azide, 50% glycerol, pH7.3.
SynonymTEX27;
Images
  • A7478: image 1

    Western blot analysis of extracts of various cell lines, using ZFAND3 antibody.

  • A7478: image 2

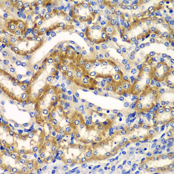
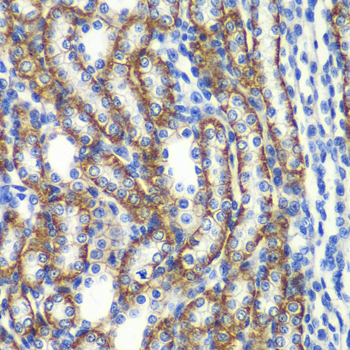
    Immunohistochemistry of paraffin-embedded rat kidney using ZFAND3 antibody at dilution of 1:100 (x400 lens).

  • A7478: image 3

    Immunohistochemistry of paraffin-embedded mouse kidney using ZFAND3 antibody at dilution of 1:100 (x400 lens).

Background

Protocol

N/A

MSDS
Reviews
Neo Scientific welcomes feedback from its customers.

If you have used an our product and would like to share how it has performed, please click on the "Submit Review" button and provide the requested information.

If you have any additional inquiries please email technical services at info@neobiolab.com.

Thank you for your support.

promotions

Image

Custom Monoclonal Antibody
MassAb Technologies
Image
Free Trial Custom Polyclonal Antibody
You will receive free purified antibodies for validation
Image
Custom Peptides Synthesis

Start from $40/each

new technologies

Image
Optimized for enhanced
expression levels
XPromoter 2.0
Image
E.coli/insect cells/293 & CHO

3 in 1 expression system
Image
MassAb Technologies

Cover All Epitopes