For quotations, please use our online quotation form, and you may also contact us by
sales@neoscientific.com
+1-888.733.6849
+1-617.299.7367 (Int’l)
+1-888.733.6849
+1-617.299.7367 (Int’l)
| Reactivity | Human |
| Tested applications | WB IHC |
| Recommended Dilution | WB 1:500 - 1:2000 IHC 1:50 - 1:200 |
| Calculated MW | 62kDa |
| Observed MW | Refer to figures |
| Immunogen | Recombinant protein of human ZNF20 |
| Storage Buffer | Store at -20℃. Avoid freeze / thaw cycles. Buffer: PBS with 0.02% sodium azide, 50% glycerol, pH7.3. |
| Synonym | KOX13; |

Western blot analysis of extracts of various cell lines, using ZNF20 antibody.

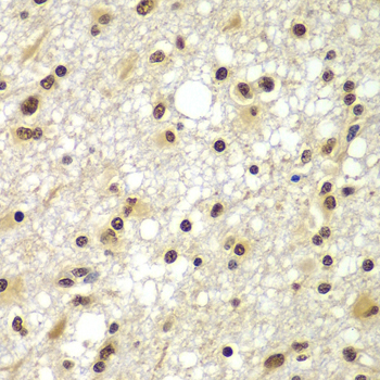
Immunohistochemistry of paraffin-embedded human brain cancer using ZNF20 antibody at dilution of 1:100 (x400 lens).

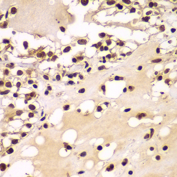
Immunohistochemistry of paraffin-embedded human kidney cancer using ZNF20 antibody at dilution of 1:100 (x400 lens).
N/A