For quotations, please use our online quotation form, and you may also contact us by
sales@neoscientific.com
+1-888.733.6849
+1-617.299.7367 (Int’l)
+1-888.733.6849
+1-617.299.7367 (Int’l)
| Reactivity | Human |
| Tested applications | WB IHC IF |
| Recommended Dilution | WB 1:500 - 1:2000 IHC 1:50 - 1:200 IF 1:50 - 1:200 |
| Calculated MW | 71kDa |
| Observed MW | Refer to figures |
| Immunogen | Recombinant protein of human ZNF264 |
| Storage Buffer | Store at -20℃. Avoid freeze / thaw cycles. Buffer: PBS with 0.02% sodium azide, 50% glycerol, pH7.3. |

Western blot analysis of extracts of various cell lines, using ZNF264 antibody.

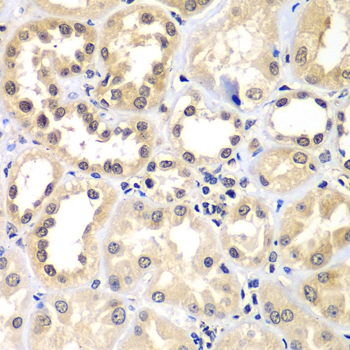
Immunohistochemistry of paraffin-embedded human kidney using ZNF264 antibody at dilution of 1:100 (x400 lens).

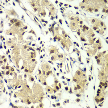
Immunohistochemistry of paraffin-embedded human gastric using ZNF264 antibody at dilution of 1:100 (x400 lens).

Immunofluorescence analysis of A549 cell using ZNF264 antibody.
This gene encodes a zinc finger protein and belongs to the krueppel C2H2-type zinc-finger protein family. Zinc finger proteins are often localized in the nucleus, bind nucleic acids, and regulate transcription.
N/A