For quotations, please use our online quotation form, and you may also contact us by
sales@neoscientific.com
+1-888.733.6849
+1-617.299.7367 (Int’l)
+1-888.733.6849
+1-617.299.7367 (Int’l)
| Reactivity | Human Mouse |
| Tested applications | WB IHC IF |
| Recommended Dilution | WB 1:500 - 1:2000 IHC 1:50 - 1:200 IF 1:50 - 1:200 |
| Calculated MW | 33kDa |
| Observed MW | Refer to figures |
| Immunogen | Recombinant protein of human ZNF346 |
| Storage Buffer | Store at -20℃. Avoid freeze / thaw cycles. Buffer: PBS with 0.02% sodium azide, 50% glycerol, pH7.3. |
| Concentration | b |
| Synonym | JAZ; Zfp346; |

Western blot analysis of extracts of various cell lines, using ZNF346 antibody.

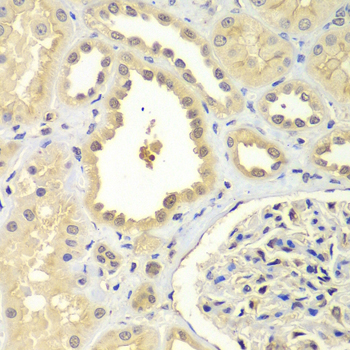
Immunohistochemistry of paraffin-embedded human kidney using ZNF346 antibody at dilution of 1:100 (x400 lens).

Immunofluorescence analysis of A549 cell using ZNF346 antibody.

Immunofluorescence analysis of A549 cell using ZNF346 antibody. Blue: DAPI for nuclear staining.
The protein encoded by this gene is a nucleolar, zinc finger protein that preferentially binds to double-stranded (ds) RNA or RNA/DNA hybrids, rather than DNA alone. Mutational studies indicate that the zinc finger domains are not only essential for dsRNA binding, but are also required for its nucleolar localization. The encoded protein may be involved in cell growth and survival.
N/A